Chance fracture
| Chance fracture | |
|---|---|
![]() | |
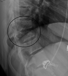
| A chance fracture of T10 and fracture of T9 due to a seatbelt during an MVC. | |
| Classification and external resources | |
| Specialty | emergency medicine |
| ICD-10 | S22.0 |
| ICD-9-CM | 805.2 |
| eMedicine | orthoped/41 |
A Chance fracture is a flexion injury of the spine,[1] first described by G. Q. Chance in 1948.[2] It consists of a compression injury to the anterior portion of the vertebral body and a transverse fracture through the posterior elements of the vertebra and the posterior portion of the vertebral body. It is caused by violent forward flexion, causing distraction injury to the posterior elements.
The most common site at which Chance fractures occur is the thoracolumbar junction (T12-L2) and midlumbar region in pediatric population.[3] This fracture initially became known as a "seat belt injury" due to its association with the sudden forward flexion that occurs when one is involved in a head-on automobile collision while being restrained by a lap belt. With the advent of both lap and shoulder belts in the 1980s, Chance fractures have become less common especially now that lap-belt-only seat belts have been almost entirely phased out.
Up to 50% of Chance fractures have associated intraabdominal injuries. Injuries associated with Chance fractures include contusions and/or lacerations of the pancreas, duodenum, and mesentery.

References
- ↑ "Chance Fracture of the Spine - Wheeless' Textbook of Orthopaedics". Retrieved 2007-08-16.
- ↑ Chance GQ: "Note on a flexion fracture of the spine." Br J Radiol 1948; 21: 452-3.
- ↑ "Archived copy". Archived from the original on 2010-12-11. Retrieved 2010-11-27.
