Necrotizing fasciitis
| Necrotising fasciitis | |
|---|---|
| Synonyms | flesh-eating bacteria, flesh-eating bacteria syndrome,[1] necrotizing soft tissue infection (NSTI)[2] |
|
| |
| Person with necrotising fasciitis. The left leg shows extensive redness and tissue death. | |
| Pronunciation | /ˈnɛkrəˌtaɪzɪŋ ˌfæʃiˈaɪtɪs/ or /ˌfæs-/ |
| Classification and external resources | |
| Specialty | Infectious disease |
| ICD-10 | M72.6 |
| ICD-9-CM | 728.86 |
| DiseasesDB | 31119 |
| MedlinePlus | 001443 |
| eMedicine | emerg/332 derm/743 |
| MeSH | D019115 |
Necrotising fasciitis (NF), commonly known as flesh-eating disease, is an infection that results in the death of the body's soft tissue.[3] It is a severe disease of sudden onset that spreads rapidly. Symptoms include red or purple skin in the affected area, severe pain, fever, and vomiting.[3] The most commonly affected areas are the limbs and perineum.[2]
Typically the infection enters the body through a break in the skin such as a cut or burn.[3] Risk factors include poor immune function such as from diabetes or cancer, obesity, alcoholism, intravenous drug use, and peripheral vascular disease.[3][2] It is not typically spread between people.[3] The disease is classified into four types, depending on the infecting organism. Between 55-80% of cases involve more than one type of bacteria. Methicillin-resistant Staphylococcus aureus (MRSA) is involved in up to a third of cases. Medical imaging is helpful to confirm the diagnosis.[4]
Prevention is by good wound care and handwashing.[3] It is usually treated with surgery to remove the infected tissue and intravenous antibiotics.[3][2] Often a combination of antibiotics are used such as penicillin G, clindamycin, vancomycin, and gentamicin.[2] Delays in surgery are associated with a higher risk of death.[4] Despite high quality treatment the risk of death is between 25% and 35%.[2]
Necrotizing fasciitis affects 0.4 to 1 person per 100,000 per year.[4] Both sexes are affected equally.[2] It becomes more common among older people and is very rare in children.[4] Necrotizing fasciitis has been described at least since the time of Hippocrates.[2] The term "necrotising fasciitis" first came into use in 1952.[4][5]
Signs and symptoms

People usually complain of intense pain that may seem excessive given the external appearance of the skin. People initially have signs of inflammation, fever and a fast heart rate. With progression of the disease, often within hours, tissue becomes progressively swollen, the skin becomes discolored and develops blisters. Crepitus may be present and there may be discharge of fluid, said to resemble "dish-water". Diarrhea and vomiting are also common symptoms.
In the early stages, signs of inflammation may not be apparent if the bacteria are deep within the tissue. If they are not deep, signs of inflammation, such as redness and swollen or hot skin, develop very quickly. Skin color may progress to violet, and blisters may form, with subsequent necrosis (death) of the subcutaneous tissues.
Furthermore, people with necrotizing fasciitis typically have a fever and appear sick. Mortality rates are as high as 73 percent if left untreated.[6] Without surgery and medical assistance, such as antibiotics, the infection will rapidly progress and will eventually lead to death.[7]
When it affects the groin it is known as Fournier gangrene.[2]
Cause
Risk factors
Over 70% of cases are recorded in people with at least one of the following clinical situations: immunosuppression, diabetes, alcoholism/drug abuse/smoking, malignancies, and chronic systemic diseases. For reasons that are unclear, it occasionally occurs in people with an apparently normal general condition.[8]
The infection begins locally at a site of trauma, which may be severe (such as the result of surgery), minor, or even non-apparent.
Bacteria
The majority of infections are caused by organisms that normally reside on the individual's skin. These skin flora exist as commensals and infections reflect their anatomical distribution (e.g. perineal infections being caused by anaerobes).
Sources of MRSA may include working at municipal waste water treatment plants, exposure to secondary waste water spray irrigation,[9] exposure to run off from farm fields fertilized by human sewage sludge or septage, hospital settings,[10] or sharing/using dirty needles.[11] The risk of infection during regional anesthesia is considered to be very low, though reported.[12]
Vibrio vulnificus, a bacterium found in saltwater, is a rare cause.[2]
Pathophysiology

"Flesh-eating bacteria" is a misnomer, as in truth, the bacteria do not "eat" the tissue. They destroy the tissue that makes up the skin and muscle by releasing toxins (virulence factors), which include streptococcal pyogenic exotoxins.
Diagnosis

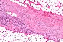
Early diagnosis is difficult as the disease often looks early on like a simple superficial skin infection.[4] While a number of laboratory and imaging modalities can raise the suspicion for necrotizing fasciitis, the gold standard for diagnosis is surgical exploration in the setting of high suspicion. When in doubt, a small "keyhole" incision can be made into the affected tissue, and if a finger easily separates the tissue along the fascial plane, the diagnosis is confirmed and an extensive debridement should be performed.[2]
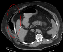
Computed tomography (CT scan) is able to detect about 80% of cases while MRI may pick up slightly more.[13]
Scoring system
The Laboratory Risk Indicator for Necrotizing Fasciitis (LRINEC) score can be utilized to risk stratify people having signs of cellulitis to determine the likelihood of necrotizing fasciitis being present. It uses six serologic measures: C-reactive protein, total white blood cell count, hemoglobin, sodium, creatinine and glucose. A score greater than or equal to[14] 6 indicates that necrotizing fasciitis should be seriously considered. The scoring criteria are as follows:
- CRP (mg/L) ≥150: 4 points
- WBC count (×103/mm3)
- <15: 0 points
- 15–25: 1 point
- >25: 2 points
- Hemoglobin (g/dL)
- >13.5: 0 points
- 11–13.5: 1 point
- <11: 2 points
- Sodium (mmol/L) <135: 2 points
- Creatinine (umol/L) >141: 2 points
- Glucose (mmol/L) >10: 1 point[14][15]
As per the derivation study of the LRINEC score, a score of ≥ 6 is a reasonable cut-off to rule in necrotizing fasciitis, but a LRINEC < 6 does not completely rule out the diagnosis. Diagnoses of severe cellulitis or abscess should also be considered due to similar presentations.[16] 10% of patients with necrotizing fasciitis in the original study still had a LRINEC score < 6.[14] But a validation study showed that patients with a LRINEC score ≥6 have a higher rate of both mortality and amputation.[17]
Classification
The disease is classified into four types, depending on the infecting organism.[4] The most common type is caused by a mixture of bacterial types, and commonly occurs at sites of surgery or trauma, usually in abdominal or perineal areas and accounts for 70 to 80% of cases.[4][18] Type II is caused by Group A streptococci (often with a co-infection of S. aureus), and usually occurs on the head, neck, arm or legs. It is less often associated with predisposing risk factors (such as surgery or a compromised immune system). Type III is caused by Vibrio vulnificus, which enters the skin via puncture wounds from fish or insects in seawater.[19][20] Type four is due to a fungal infection.[4]
Prevention
Prevention is by good wound care and handwashing.[3]
Treatment
Early medical treatment is often presumptive; thus, antibiotics should be started as soon as this condition is suspected. Initial treatment often includes a combination of intravenous antibiotics including piperacillin/tazobactam, vancomycin, and clindamycin. Cultures are taken to determine appropriate antibiotic coverage, and antibiotics may be changed when culture results are obtained.
Treatment for necrotizing fasciitis may involve an interdisciplinary care team. For example, in the case of a necrotizing fasciitis involving the head and neck, the team could include otolaryngologists, speech pathologists, intensivists, microbiologists and plastic surgeons or oral and maxillofacial surgeons.[21] Maintaining strict asepsis during any surgical procedure and regional anaesthesia techniques is vital in preventing the occurrence of the disease.[12]
Surgery
People are typically taken to surgery based on a high index of suspicion, determined by the person's signs and symptoms. In necrotizing fasciitis, aggressive surgical debridement (removal of infected tissue) is always necessary to keep it from spreading and is the only treatment available. Diagnosis is confirmed by visual examination of the tissues and by tissue samples sent for microscopic evaluation.
Amputation of the affected limb(s) may be necessary. Repeat explorations usually need to be done to remove additional necrotic tissue. Typically, this leaves a large open wound, which often requires skin grafting, though necrosis of internal (thoracic and abdominal) viscera – such as intestinal tissue – is also possible. The associated systemic inflammatory response is usually profound, and most people will require monitoring in an intensive care unit. Because of the extreme nature of many of these wounds and the grafting and debridement that accompanies such a treatment, a burn center's wound clinic, which has staff trained in such wounds, may be utilized.
- Necrotic tissue from the left leg surgically removed
Post surgical debridement and skin grafting
Post knee disarticulation amputation
Other
Hyperbaric oxygen treatment is sometimes used to treat necrotizing soft tissue infection in combination with antibiotics and debridement, but there is a lack of compelling evidence regarding its efficacy for this purpose.[22][23]
Epidemiology
Necrotizing fasciitis affects about 0.4 in every 100,000 people per year in the United States.[4] In some areas of the world it is as common as 1 in every 100,000 people.[4]
Society and culture
Other names
Other names have included phagedaenic ulcer, phagedena gangrenous, gangrenous ulcer, malignant ulcer, putrid ulcer, and hospital gangrene.[2]
Notable cases
- 1994 Lucien Bouchard, former premier of Québec, Canada, who became infected while leader of the federal official opposition Bloc Québécois party, lost a leg to the illness.[24]
- 1994 A cluster of cases occurred in Gloucestershire, in the west of England. Of five confirmed and one probable infection, two died. The cases were believed to be connected. The first two had acquired the Streptococcus pyogenes bacteria during surgery, the remaining four were community-acquired.[25] The cases generated much newspaper coverage, with lurid headlines such as "Flesh Eating Bug Ate My Face".[26]
- 1997 Ken Kendrick, former agent and partial owner of the San Diego Padres and Arizona Diamondbacks, contracted the disease in 1997. He had seven surgeries in a little more than a week and later recovered fully.[27]
- 2004 Eric Allin Cornell, winner of the 2001 Nobel Prize in Physics, lost his left arm and shoulder to the disease in 2004.[28]
- 2005 Alexandru Marin, an experimental particle physicist, professor at MIT, Boston University and Harvard University, and researcher at CERN and JINR, died from the disease.[29]
- 2006 David Walton, a leading economist in the UK and a member of the Bank of England's Monetary Policy Committee, died in June 2006 of the disease within 24 hours of diagnosis.[30]
- 2006 Alan Coren, British writer and satirist, announced in his Christmas 2006 column for The Times that his long absence as a columnist had been caused by his contracting the disease while on holiday in France.[31]
- 2009 R. W. Johnson, South African journalist and historian, contracted the disease in March 2009 after injuring his foot while swimming. His leg was amputated above the knee.[32]
- 2011 (January) Jeff Hanneman, guitarist for the thrash metal band Slayer, contracted the disease in 2011. He died of liver failure two years later, on May 2, 2013, and it was speculated his infection might be the cause of death. However, on May 9, 2013, the official cause of death was announced as alcohol-related cirrhosis. Hanneman and his family had apparently been unaware of the extent of the condition until shortly before his death.[33]
- 2011 (February) Peter Watts, Canadian science fiction author, contracted the disease in early 2011. On his blog, Watts reported, "I’m told I was a few hours away from being dead...If there was ever a disease fit for a science fiction writer, flesh-eating disease has got to be it. This...spread across my leg as fast as a Star Trek space disease in time-lapse. "[34]
- 2014 Don Rickles, a celebrated American stand-up comedian (b. 8 May 1926), revealed on The Late Show with David Letterman on 2 May 2014 that he had contracted necrotizing fasciitis on his right leg. His doctor came over to his house for a visit and noticed a sore on Don's leg. After examining it he sent him straight to the hospital. Treatment was successful, though he now requires a cane for a short period of time. If it had progressed further, Don quipped, he would have wound up with Johnny Depp as a one legged pirate.[35]
- 2015 (May) Edgar Savisaar, an Estonian politician. His right leg was amputated. He got the disease during a trip to Thailand.[36]
See also
- Mucormycosis, a rare fungal infection that can present like necrotizing fasciitis.
- Toxic shock syndrome
- Gangrene
References
- ↑ Rakel, David; Rakel, Robert E. (2015). Textbook of Family Medicine. Elsevier Health Sciences. p. 193. ISBN 9780323313087.
- 1 2 3 4 5 6 7 8 9 10 11 12 Hakkarainen, Timo W.; Kopari, Nicole M.; Pham, Tam N.; Evans, Heather L. (2014). "Necrotizing soft tissue infections: Review and current concepts in treatment, systems of care, and outcomes". Current Problems in Surgery. 51 (8): 344–62. doi:10.1067/j.cpsurg.2014.06.001. PMC 4199388
. PMID 25069713. - 1 2 3 4 5 6 7 8 "Necrotizing Fasciitis: A Rare Disease, Especially for the Healthy". CDC. June 15, 2016. Retrieved 13 August 2016.
- 1 2 3 4 5 6 7 8 9 10 11 Paz Maya, S; Dualde Beltrán, D; Lemercier, P; Leiva-Salinas, C (May 2014). "Necrotizing fasciitis: an urgent diagnosis.". Skeletal radiology. 43 (5): 577–89. doi:10.1007/s00256-013-1813-2. PMID 24469151.
- ↑ Wilson, B (1952). "Necrotizing fasciitis". The American Surgeon. 18 (4): 416–31. PMID 14915014.
- ↑ Trent, Jennifer T.; Kirsner, Robert S. (2002). "Necrotizing fasciitis". Wounds. 14 (8): 284–92.
- ↑ "Necrotizing Fasciitis (Flesh-Eating Bacteria)". WebMD. 2011-10-12.
- ↑ Pricop M, Urechescu H, Sîrbu A, Urtilă E (Mar 2011). "Fasceita necrozantă cervico-toracică: caz clinic și recenzie a literaturii de specialitate" [Necrotizing cervical fasciitis: clinical case and review of literature]. Revista de chirurgie oro-maxilo-facială și implantologie [Journal of oro-maxillo-facial surgery and implantology] (in Romanian). 2 (1): 1–6. ISSN 2069-3850.
- ↑ "MRSA found in wastewater byproducts" (PDF).
- ↑ "MRSA in hospitals".
- ↑ "MRSA from sharing or using dirty needles". Archived from the original on March 12, 2013.
- 1 2 Dutta, Gautam; Singh, RajKumar (2013). "Fatal necrotising fasciitis after spinal anaesthesia". Journal of Cutaneous and Aesthetic Surgery. 6 (3): 165–6. doi:10.4103/0974-2077.118429. PMC 3800295
. PMID 24163537. - ↑ Puvanendran, R; Huey, JC; Pasupathy, S (October 2009). "Necrotizing fasciitis.". Canadian Family Physician. 55 (10): 981–7. PMC 2762295
. PMID 19826154. - 1 2 3 Wong, Chin-Ho; Khin, Lay-Wai; Heng, Kien-Seng; Tan, Kok-Chai; Low, Cheng-Ooi (2004). "The LRINEC (Laboratory Risk Indicator for Necrotizing Fasciitis) score: A tool for distinguishing necrotizing fasciitis from other soft tissue infections". Critical Care Medicine. 32 (7): 1535–41. doi:10.1097/01.CCM.0000129486.35458.7D. PMID 15241098.
- ↑ "LRINEC scoring system for necrotising fasciitis". EMT Emergency Medicine Tutorials.
- ↑ "LRINEC Score for Necrotiing Fasciitis". MDCalc. Retrieved 2014-11-15.
- ↑ Su, Yi-Chun; Chen, Hung-Wen; Hong, Yu-Cheng; Chen, Chih-Tsung; Hsiao, Cheng-Ting; Chen, I-Chuan (2008). "Laboratory risk indicator for necrotizing fasciitis score and the outcomes". ANZ Journal of Surgery. 78 (11): 968–72. doi:10.1111/j.1445-2197.2008.04713.x. PMID 18959694.
- ↑ Sarani, Babak; Strong, Michelle; Pascual, Jose; Schwab, C. William (2009). "Necrotizing Fasciitis: Current Concepts and Review of the Literature". Journal of the American College of Surgeons. 208 (2): 279–88. doi:10.1016/j.jamcollsurg.2008.10.032. PMID 19228540.
- ↑ Stephen Ash and Louis E. Kennedy. (2015). Deep soft-tissue infections: necrotizing fasciitis and gas gangrene. In: David Schlossberg (ed.) Clinical Infectious Disease. pp. 153-156. [Online]. 2nd ed. Cambridge: Cambridge University Press. Available from: Cambridge Books Online doi:10.1017/CBO9781139855952.027 [Accessed 09 April 2016].
- ↑ Ronni Wolf et al. (2011). NECROTIZING SOFT-TISSUE INFECTIONS, INCLUDING NECROTIZING FASCIITIS. In: Ronni Wolf et al. (eds.) Emergency Dermatology. pp. 75-80. [Online]. Cambridge: Cambridge University Press. Available from: Cambridge Books Online doi:10.1017/CBO9780511778339.009 [Accessed 09 April 2016].
- ↑ Malik, Vikas; Gadepalli, Chaitanya; Agrawal, Shailesh; Inkster, Claire; Lobo, Christopher (2010). "An algorithm for early diagnosis of cervicofacial necrotising fasciitis". European Archives of Oto-Rhino-Laryngology. 267 (8): 1169–77. doi:10.1007/s00405-010-1248-5. PMID 20396897.
- ↑ Escobar SJ, Slade JB, Hunt TK, Cianci P (2005). "Adjuvant hyperbaric oxygen therapy (HBO2) for treatment of necrotizing fasciitis reduces mortality and amputation rate". Undersea Hyperb Med. 32 (6): 437–43. PMID 16509286. Retrieved 2008-05-16.
- ↑ Levett, Denny; Bennett, Michael H; Millar, Ian; Levett, Denny (2015). "Adjunctive hyperbaric oxygen for necrotizing fasciitis". The Cochrane Database of Systematic Reviews. 1: CD007937. doi:10.1002/14651858.CD007937.pub2. PMID 25879088.
- ↑ Seachrist, Lisa (October 7, 1995). "The Once and Future Scourge: Could common anti-inflammatory drugs allow bacteria to take a deadly turn?" (PDF). Science News. 148 (15): 234–5. doi:10.2307/4018245. Archived from the original (PDF) on December 2, 2007.
- ↑ Cartwright, K; Logan, M; McNulty, C; Harrison, S; George, R; Efstratiou, A; McEvoy, M; Begg, N (1995). "A cluster of cases of streptococcal necrotizing fasciitis in Gloucestershire". Epidemiology and Infection. 115 (3): 387–97. doi:10.1017/s0950268800058544. PMC 2271581
. PMID 8557070. - ↑ Dixon, Bernhard (11 March 1996). "Microbe of the Month: What became of the flesh-eating bug?". Independent. Retrieved 28 May 2013.
- ↑ "Moorad's life changed by rare disease
- ↑ Cornell Discusses His Recovery from Necrotizing Fasciitis with Reporters
- ↑ "In Memoriam – Alexandru A. Marin (1945–2005)", ATLAS eNews, December 2005 (accessed 5 November 2007).
- ↑ "Flesh-eating bug killed top economist in 24 hours". Mail Online. Retrieved 19 June 2015.
- ↑ "Opinion - The Times". timesonline.co.uk. Retrieved 19 June 2015.
- ↑ R. W. Johnson "Diary", London Review of Books, 6 August 2009, p41
- ↑ "Slayer Guitarist Jeff Hanneman: Official Cause Of Death Revealed - May 9, 2013". Blabbermouth.net. Roadrunner Records. Retrieved 10 May 2013.
- ↑ "The Plastinated Man". rifters.com. Retrieved 19 June 2015.
- ↑ YouTube. youtube.com. Retrieved 19 June 2015.
- ↑ News in estonian about Edgar Savisaars leg amputation.