Hyperostosis frontalis interna
| Hyperostosis frontalis interna | |
|---|---|
![]() | |
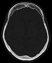
| Hyperostosis frontalis interna in a 74-year-old woman | |
| Classification and external resources |

Hyperostosis frontalis at CT
Hyperostosis frontalis interna is a common, benign thickening of the inner side of the frontal bone of the skull. It is found predominantly in women after menopause and is usually asymptomatic. Mostly frequently it is found as an incidental finding discovered during an X-ray or CT scan of the skull.
References
- She R, Szakacs J (2004). "Hyperostosis frontalis interna: case report and review of literature". Ann. Clin. Lab. Sci. 34 (2): 206–8. PMID 15228235.
This article is issued from Wikipedia - version of the 7/18/2016. The text is available under the Creative Commons Attribution/Share Alike but additional terms may apply for the media files.
