Rib fracture
| Rib fracture | |
|---|---|
![]() | |
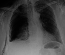
| An X ray showing multiple old fractured ribs of the person's left side as marked by the oval. | |
| Classification and external resources | |
| Specialty | emergency medicine |
| ICD-10 | S22.3-S22.4 |
| ICD-9-CM | 807.0, 807.1 |
| DiseasesDB | 11553 |
| eMedicine | emerg/204 radio/609 |
| MeSH | D012253 |
A rib fracture is a break or fracture in one or more of the bones making up the rib cage.[1] Fractures of the first and second ribs may be more likely to be associated with head and facial injuries than other rib fractures.[2] The middle ribs are the ones most commonly fractured.[3] Fractures usually occur from direct blows or from indirect crushing injuries. A rib fracture has the complication of potentially causing a pulmonary contusion.[4] Rib fractures are usually quite painful because the ribs have to move to allow for breathing. When several ribs are broken in several places a flail chest results, and the detached bone sections will move separately from the rest of the chest.[5]
Causes
Rib fractures can occur with or without direct trauma during recreational activity. Cardiopulmonary resuscitation, commonly known as CPR, has also been known to cause thoracic injury, including but not limited to rib and sternum fractures. They can also occur as a consequence of diseases such as cancer or rheumatoid arthritis. While for elderly individuals a fall can cause a rib fracture, in adults automobile accidents are a common event for such an injury.[6]
Diagnosis


Signs one may have a broken rib are:[7]
- Pain on inhalation
- Swelling in chest area
- Bruise in chest area
- Increasing shortness of breath
- Coughing up blood (rib may have damaged lung)
Because children have more flexible chest walls than adults do, their ribs are more likely to bend than to break; therefore the presence of rib fractures in children is evidence of a significant amount of force and may indicate severe thoracic injuries such as pulmonary contusion.[5] Rib fractures are also a sign of more serious injury in elderly people.[8]
Treatment
There is no specific treatment for rib fractures, but various supportive measures can be taken. In simple rib fractures, pain can lead to reduced movement and cough suppression; this can contribute to formation of secondary chest infection.[9] Flail chest is a potentially life-threatening injury and will often require a period of assisted ventilation.[10] Flail chest and first rib fractures are high-energy injuries and should prompt investigation of damage to underlying viscera (e.g., lung contusion) or remotely (e.g., cervical spine injury). Spontaneous fractures in athletes generally require a cessation of the cause, e.g., time off rowing, while maintaining cardiovascular fitness.
Treatment options for internal fixation/repair of rib fractures include:
- Judet and/or sanchez plates/struts are a metal plate with strips that bend around the rib and then is further secured with sutures.[11]
- Synthes matrixrib fixation system has two options: a precontoured metal plate that uses screws to secure the plate to the rib; and/or an intramedullary splint which is tunneled into the rib and secured with a set screw.[12]
- Anterior locking plates are metal plates that have holes for screws throughout the plate. The plate is positioned over the rib and screwed into the bone at the desired position. The plates may be bent to match the contour of the section.[13]
- U-plates can also be used as they clamp on to the superior aspect of the ribs using locking screws.[14]
See also
References
- ↑ "Rib Fracture". Free Medical Dictionary. 2015. Retrieved 15 August 2015.
- ↑ Rib Fracture Imaging at eMedicine
- ↑ Nanni, Christina (2012). PET-CT: Rare Findings and Diseases. Springer. p. 257. ISBN 978-3-642-24698-2.
- ↑ Marx, John (2010). Rosen's Emergency Medicine - Concepts and Clinical Practice, 2 ..., Volumes 1-2. Mosby. p. 187. ISBN 978-0-323-05472-0.
- 1 2 Wanek, Sandra; Mayberry, John C (2004). "Blunt thoracic trauma: flail chest, pulmonary contusion, and blast injury". Critical Care Clinics. 20 (1): 71–81. doi:10.1016/S0749-0704(03)00098-8. PMID 14979330.
- ↑ Rib Fracture at eMedicine
- ↑ "Broken or bruised ribs". NHS.UK. 2015. Retrieved 15 August 2015.
- ↑ Kent, Richard; Woods, William; Bostrom, Ola (2008-01-01). "Fatality Risk and the Presence of Rib Fractures". Annals of Advances in Automotive Medicine / Annual Scientific Conference. 52: 73–84. ISSN 1943-2461. PMC 3256783
. PMID 19026224. - ↑ Morice, A H; McGarvey, L; Pavord, I (2006). "Recommendations for the management of cough in adults". Thorax. 61 (Suppl 1): i1–24. doi:10.1136/thx.2006.065144. PMC 2080754
. PMID 16936230. - ↑ Paul, Pauline; Williams, Beverly (2009-01-01). Brunner & Suddarth's Textbook of Canadian Medical-surgical Nursing. Lippincott Williams & Wil. p. 637. ISBN 9780781799898.
- ↑ Fitzpatrick, D. C.; Denard, P. J.; Phelan, D.; Long, W. B.; Madey, S. M.; Bottlang, M. (2010). "Operative stabilization of flail chest injuries: review of literature and fixation options". European Journal of Trauma and Emergency Surgery. 36 (5): 427–433. doi:10.1007/s00068-010-0027-8. PMC 3150812
. PMID 21841954. - ↑ Mathison, Douglas (2014). Master Techniques in Surgery: Thoracic Surgery: Transplantation, Tracheal Resections, Mediastinal Tumors, Extended Thoracic Resections. Walters-Kluwer Health. ISBN 978-1-46988-903-0. Retrieved 15 August 2015.Rib fracture at Google Books
- ↑ Browner, Bruce D. (2009-01-01). Skeletal Trauma: Basic Science, Management, and Reconstruction. Elsevier Health Scien. p. 1418. ISBN 1416022201.
- ↑ de Jong, M. B.; Kokke, M. C.; Hietbrink, F.; Leenen, L. P. H. (2014). "Surgical Management of Rib Fractures: Strategies and Literature Review". Scandinavian Journal of Surgery. 103 (2): 120–125. doi:10.1177/1457496914531928. PMID 24782038.
Further reading
- Myers, Jeffrey (2002). Principles of Pathophysiology and Emergency Medical Care. Delmar Thomson Learning. p. 121. ISBN 0-7668-2548-5.
