Breast cyst
| Breast cyst | |
|---|---|
|
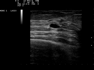
Ultrasound scan showing a small cyst in the breast | |
| Classification and external resources | |
| Specialty | urology |
| ICD-10 | N60.0 |
| ICD-9-CM | 610.0 |
| MeSH | D047688 |
A breast cyst is a fluid-filled sac within the breast. One breast can have one or more breast cysts. They are often described as round or oval lumps with distinct edges. In texture, a breast cyst usually feels like a soft grape or a water-filled balloon, but sometimes a breast cyst feels firm.[1]
Breast cysts can be painful and may be worrisome but are generally benign. They are most common in pre-menopausal women in their 30s or 40s. They usually disappear after menopause, but may persist or reappear when using hormone therapy.[1] They are also common in adolescents.[2] Breast cysts can be part of fibrocystic disease. The pain and swelling is usually worse in the second half of the menstrual cycle or during pregnancy.
Treating breast cysts is usually not necessary unless they are painful or cause discomfort. In most cases, the discomfort they cause may be alleviated by draining the fluid from the cyst. The cysts form as a result of the growth of the milk glands and their size may range from smaller than a pea to larger than a ping pong ball.[3] Small cysts cannot be felt during a physical examination, and some large cysts feel like lumps. However, most cysts, regardless of their size cannot be identified during physical exams.
Breast cysts are not to be confused with "milk cysts" (galactoceles), which usually appear during weaning.
Signs and symptoms
Signs and symptoms of breast cysts include:
- A smooth, easily movable round or oval breast lump with distinct edges
- Breast pain or tenderness in the area of the lump
- Increased lump size and tenderness just before menstruation
- Decreased lump size and resolution of other signs and symptoms after menstruation
- Having one or many simple breast cysts does not increase a person's risk of breast cancer.[4]
Lumps in the breast are often not found during self-examinations or physical exams. However, in some cases they can be felt at touch, especially if they are larger.
Breasts are usually lumpy or nodular as a result of the hormonal changes that women go through during their menstrual cycle. However, new breast lumps should always be referred to a specialist.
Fluid leaking from a cyst, as may happen due to puncture or vigorous compression during mammography, or due to seatbelt injury in the course of an automobile accident, may trigger an aseptic inflammation in the surrounding breast tissue.[5]
Diagnosis

The cystic nature of a breast lump can be confirmed by ultrasound examination, aspiration[6] (removal of contents with needle), or mammogram. Ultrasound can also show if the cyst contains solid nodules, a sign that the lesion may be pre-cancerous or cancerous. Examination by a cytopathologist of the fluid aspirated from the cyst may also help with this diagnosis. In particular, it should be sent to a laboratory for testing if it is blood-stained.
Commonly, cysts are detected with the help of mammograms. However, the medical history and physical examination also play an important role in establishing an accurate diagnosis. During these tests, the doctor will try to find out as much information as possible regarding the symptoms the patient has experienced, their intensity and duration and the physical examination is performed regularly to check for other abnormalities that may exist within the breast.
As mentioned above, cysts are often undetectable at touch. Therefore, a mammogram can provide valuable and clear images of the breast tissue. Generally, if there is any abnormality within the breast tissue, it will be shown on the mammogram. There are two types of mammograms available. One of them is primarily used in screening, and are ordered for patients who do not show any symptoms and these are called screening mammograms. Diagnostic mammograms are used on patients who developed certain symptoms of a breast condition or in patients whose screening mammograms showed abnormalities.
Patients suspected of breast cysts will normally be given a diagnosing mammogram, although they are not suspected of cancer. This type of mammogram provides the doctor with the possibility of performing a breast ultrasound at the same time and this is the reason why they are often preferred over the screening mammograms. Breast ultrasound is considered the best option when diagnosing breast cysts because it is 95 to 100% accurate, it provides a clear image on the cyst's appearance (simple or complex) and it may also distinguish between solid lumps and fluid-filled cysts, which a mammogram cannot do.[7] Breast ultrasounds are performed with the help of a handheld medical instrument which is placed on the skin, after a special type of fluid has been applied on it. The instruments picks up the echo resulted from the sound waves it sends to the breast. These echoes are transmitted to a computer which translates it into a picture.
Breast cysts may remain stable for many years or may resolve spontaneously.[8] Most simple cysts are benign and do not require any treatment or further diagnostic workup. Some complex cysts may require further diagnostic measures such as fine needle aspiration or biopsy to exclude breast cancer however the overwhelming majority is of benign nature.[6][9] Aspiration both diagnoses and removes cysts at the same time. That is, cysts will usually resolve on their own after the fluid is drained. Otherwise, if the lump is not a cyst, the fluid aspirated may contain blood or there may not be fluid at all. Whereas in the first case, the fluid is sent to the laboratory for further examination, the latter circumstance is a sign that the breast lump is solid. This type of tumor needs to be biopsied in order to determine whether it is malignant or benign.
Treatment
Breast cysts do not require treatment unless a cyst is large and painful or otherwise uncomfortable. In that case, draining the fluid from a breast cyst can ease symptoms.[1]
Typical treatment involves a Needle aspiration biopsy. Aspirated cysts often recur (come back); definitive treatment may require surgery.
Draining the fluid and then waiting for the cyst to resolve is the main treatment applied in these cases. Moreover, if cysts are aspirated and the fluid looks normal, they do not require any other medical attention apart from following-up to make sure they have completely disappeared. Hormone therapy, by the means of oral contraceptives, is sometimes prescribed to reduce their recurrence and to regulate the menstrual cycle of the patient (which is likely to cause them in the first place). Danazol may also be prescribed to treat this condition and it is usually considered in patients on whom the non-medical treatment fails and the symptoms are intense.
Surgical removal of a breast cyst is necessary only in a few unusual circumstances. If an uncomfortable breast cyst recurs month after month, or if a breast cyst contains blood-tinged fluid and displays other worrisome signs, surgery may be considered.[10]
Prevention
The development of breast cysts may be prevented to some degree, according to the majority of the specialists. The recommended measures one is able to take in order to avoid the formation of the cysts include practicing good health and avoiding certain medications, eating a balanced diet, taking necessary vitamins and supplements, getting exercise, and avoiding stress.[11]
Although caffeine consumption does not have a scientifically proved connection with the process of cyst development, many women claim that their symptoms are relieved if avoiding it. Some doctors recommend reducing the amount of caffeine in one's diet in terms of both beverages and foods (such as chocolate). Also reducing salt intake may help in alleviating the symptoms of breast cysts, although, again, there is no scientific linkage between these two. Excessive sugar consumption as well as undetected food allergies, such as to gluten or lactose, may also contribute to cyst development.
Epidemiology
It is estimated that 7% of women in the western world develop palpable breast cysts.[12]
There is preliminary evidence that women with breast cysts may be at an increased risk of breast cancer, especially at younger ages.[12]
In males, the occurrence of breast cysts is rare[13] and may (but need not) be an indication of malignancy.[14]
Cysts and bra support
Some women experience breast pain, especially when engaging in vigorous physical activity. A properly fitted sports bra, which compresses or encapsulates breast tissue, is designed to reduce pain caused by exercise.[15][16][17]
References
- 1 2 3 Mayo Clinic Staff (9 November 2012). "Breast cysts". Mayo Clinic. Retrieved 2015-05-16.
- ↑ Victor C. Strasburger (2006). Adolescent Medicine: A Handbook for Primary Care. Lippincott Williams & Wilkins. p. 228. ISBN 978-0-7817-5315-9.
- ↑ "Breast Cysts". Retrieved 2010-06-25.
- ↑ Mayo Clinic Staff (9 November 2012). "Breast cysts Symptoms". Mayo Clinic. Archived from the original on 26 July 2015. Retrieved 2015-05-16.
- ↑ Daniel J. Dronkers; J. H. C. L. Hendriks (1 January 2011). Practice of Mammography: Pathology - Technique - Interpretation - Adjunct Modalities. Thieme. p. 130. ISBN 978-3-13-160601-3.
- 1 2 Daly CP, Bailey JE, Klein KA, Helvie MA (May 2008). "Complicated breast cysts on sonography: is aspiration necessary to exclude malignancy?". Acad Radiol. 15 (5): 610–7. doi:10.1016/j.acra.2007.12.018. PMID 18423318.
- ↑ "What are breast cysts?". Retrieved 2010-06-25.
- ↑ Veena Chowdhury; Arun Kumar Gupta; Niranjan Khandelwal; et al., eds. (2012). Diagnostic Radiology: Musculoskeletal and Breast Imaging. JP Medical Ltd. p. 484. ISBN 978-93-5025-883-5.
- ↑ "Tests and diagnosis". Retrieved 2010-06-25.
- ↑ "Treatments and drugs". Retrieved 2010-06-25.
- ↑ "Breast Cyst Treatment Alternatives". Retrieved 2010-06-25.
- 1 2 Dixon JM, McDonald C, Elton RA, Miller WR (May 1999). "Risk of breast cancer in women with palpable breast cysts: a prospective study. Edinburgh Breast Group". Lancet. 353 (9166): 1742–5. doi:10.1016/s0140-6736(98)06408-3. PMID 10347986.
- ↑ Alexander N. Sencha (24 October 2014). Imaging of Male Breast Cancer. Springer. p. 115. ISBN 978-3-319-06050-7.
- ↑ Chen L, Chantra PK, Larsen LH, Barton P, Rohitopakarn M, Zhu EQ, Bassett LW (2006). "Imaging characteristics of malignant lesions of the male breast". Radiographics (Review). 26 (4): 993–1006. doi:10.1148/rg.264055116. PMID 16844928.
- ↑ Greenbaum AR, Heslop T, Morris J, Dunn KW (April 2003). "An investigation of the suitability of bra fit in women referred for reduction mammaplasty". British Journal of Plastic Surgery. 56 (3): 230–6. doi:10.1016/S0007-1226(03)00122-X. PMID 12859918.
- ↑ Hadi MS (November 2000). "Sports Brassiere: Is It a Solution for Mastalgia?". The Breast Journal. 6 (6): 407–409. doi:10.1046/j.1524-4741.2000.20018.x. PMID 11348400.
- ↑ Mason BR, Page KA, Fallon K (June 1999). "An analysis of movement and discomfort of the female breast during exercise and the effects of breast support in three cases". Journal of Science and Medicine in Sport. 2 (2): 134–44. doi:10.1016/S1440-2440(99)80193-5. PMID 10476977.
